フッ素
フッ素の必要性
萌出したての乳歯や永久歯は歯質が未成熟な為、虫歯の原因となる菌の作り出す酸に対する抵抗力がとても弱く、虫歯にかかるリスクが大変高くなります。
また、この時期の歯質は反応性が高くフッ素を取り込みやすい為、フッ素塗布することによりエナメル質の耐酸性を高めてくれます。
その為、歯の生える時期に合わせて定期的にフッ素を塗布することで虫歯予防の効果が期待できます。
一年に数回フッ素を塗布することで大事なお子様の歯を虫歯からお守りするお手伝いをさせて頂きます。
フッ素塗布の手順
①まずは歯磨きがキチンと出来ているか、赤く染めて検査します。

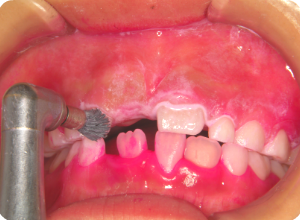
②磨き残しや汚れなどを、ブラシとラバーカップを使って落としていきます。


キレイになりました。
③それぞれのお口の大きさに合わせたトレーを使い、フッ素を塗布していきます。


HOME



