歯周病の予防に
PMTC (Professional Mechanical Tooth Cleaning)
メンテナンス(PMTC)の必要性
一度歯周病になると、術者によってその細菌を歯面から除去しなければなりません。そして、たとえ除去しても健康になった歯肉の周りにその原因菌であったプラーク(歯垢)が再付着することで、同じ病気が再発してしまいます。
実験結果によると歯周ポケット内から術者が細菌を除去した後、正しいプラークコントロールが行えないと(歯ブラシがうまく使用できないと)歯周ポケット内細菌は4~8週間でまた増えてくるということがわかっています。ですから歯周病の予防には患者さんご自身による正しいプラークコントロールが大切です。
(歯周病とは?⇒詳しくはこちら)
ですが 歯と歯の間,歯肉の溝、奥歯の深い溝、差し歯、金属冠の周り等には患者さんご自身ではケアできない部分があります。ですからせっかく治った歯周病が後戻りしないように3~4ヵ月に1度はプロによる徹底した細菌除去(PMTC)が必要です。
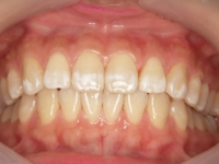
また PMTCは歯周病予防だけのものではなく虫歯の予防、ホワイトニング効果もあり予防と審美の両方に有効です。
最近ではサポーティブ・ぺリオドンタルセラピー(SPT)という言葉が盛んに使われていますが、これは患者さん自身のプラークコントロールに加え、術者つまり歯科衛生士による積極的な機械的、化学的なプラークコントロールの大切さが日本でもようやく再認識されております。
治療部位は治したから安心なわけではなく、個々の患者さんのリスクポイントと理解して下さい。さらなるケアが必要となります。
当医院では虫歯の治療は最小限に(ミニマム・インターベンション)、また治療した部位の再発の予防に努めています。
当院では 予防大国スゥエーデンでシステム化され 多くのエビデンスに裏付けられた欧米各国で確実な実績を上げているシステムを取り入れております。
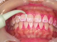
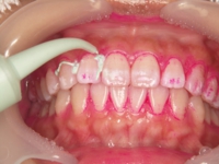
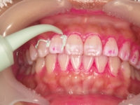
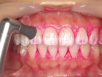
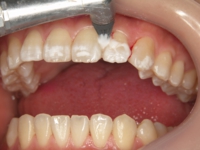
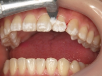
PMTCの基本術式
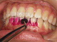
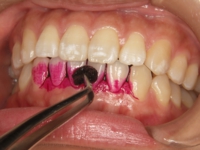
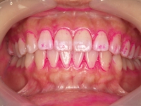
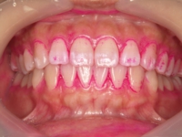
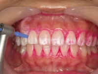
①プラークがどこに残っているのかを染色液で確認します。(口腔内の状況によっては、行わない場合もあります)


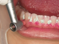
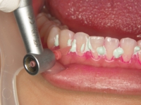
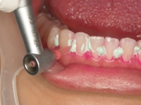
②歯の表面に専用のクリーニングペーストを塗ります。

③PMTC専用の往復運動する特殊な機械と歯間専用チップを使って回転ブラシでは不可能な歯と歯の間の細部の強固な汚れ(バイオフィルム)を落とします。


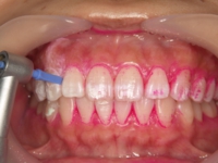
④歯肉を傷つけないように、柔らかいラバーカップで歯と歯肉の境目の汚れを落とします。


⑤洗浄液で歯周ポケット内を洗います。

⑥歯の質を強くし輝きを増すために、きれいになった歯面にフッ素を塗布して終了です。


HOME



